Month: January 2024

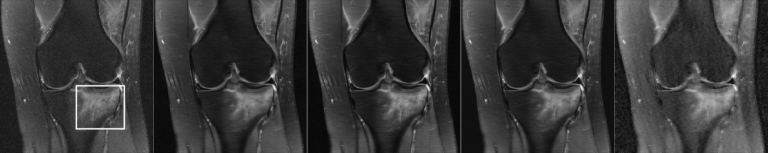
We are happy to announce that our manuscript "How AI May Transform Musculoskeletal Imaging" (https://pubs.rsna.org/doi/10.1148/radiol.230764) just got published in Radiology. This was a joint effort with colleagues from Boston University, University of Lausanne, University Paris Cité, NYU, Clinique ...

Category: Allgemein

We are very happy to announce that our most recent manuscript (https://doi.org/10.1162/imag_a_00085) has just been published in early view in Imaging Neuroscience. We introduced a novel diffusion MRI acquisition and reconstruction approach for ultra-high field (7T) imaging. Our method consists of a ...

Category: Allgemein